Kesehatan Ibu dan Anak
15 Ciri-Ciri Janin Sehat pada Trimester Pertama, Catat Bunda!
Ditulis Oleh
Admin TzuChi • 21 Oktober 2025

Penasaran apa saja ciri-ciri janin sehat pada trimester pertama?
Trimester pertama adalah fase paling penting, karena di sinilah organ vital janin mulai terbentuk, sehingga wajar jika banyak ibu hamil merasa cemas apakah perkembangan janinnya berjalan dengan baik.
Ciri-ciri janin sehat pada trimester pertama dapat dilihat dari detak jantung yang normal, pertumbuhan rahim sesuai usia kehamilan, dan gejala kehamilan yang konsisten.
Beberapa tanda bisa dipantau sendiri, namun ada pula yang memerlukan pemeriksaan medis untuk memastikan kondisi janin tetap optimal.
Memahami indikator ini akan membantu Anda merasa lebih tenang sekaligus waspada terhadap risiko sejak dini.
Oleh karena itu, yuk baca artikel ini sampai selesai untuk mengetahui penjelasan lengkapnya.
Apa Itu Trimester Pertama?
Trimester pertama adalah fase paling awal dari kehamilan dan masa penting untuk mengenali ciri-ciri janin sehat pada trimester pertama, berlangsung dari hari pertama haid terakhir hingga akhir minggu ke-13.
Hal ini menjadi masa penyesuaian besar bagi tubuh seorang ibu karena terjadi lonjakan hormon drastis, yang sering kali memicu keluhan seperti mual, muntah (morning sickness), dan kelelahan.
Bagi janin, trimester pertama adalah fase pembangunan pondasi. Pada akhir periode ini, janin sudah memiliki bentuk dasar tubuh, termasuk otak, jantung, tulang belakang, serta tunas tangan dan kaki.
Karena semua ini terjadi di awal, trimester pertama memang dikenal sebagai periode paling rentan terhadap risiko, sehingga Anda perlu mengenali semua ciri-ciri janin sehat pada trimester pertama dengan baik.
Penelitian WHO menyatakan bahwa ciri janin sehat dapat dilihat dari berat perkiraan janin yang sesuai dengan usia kehamilan.
Berat janin dipengaruhi oleh jenis kelamin janin, kondisi fisik ibu seperti tinggi dan berat badan, serta pengalaman melahirkan sebelumnya. Perbedaan pertumbuhan janin juga dapat terjadi antar populasi di berbagai negara.
Faktor-faktor ini penting untuk dipertimbangkan dalam memantau kesehatan janin agar dapat mendukung perkembangan optimal dan mencegah risiko penyakit di masa depan
Ciri-Ciri Janin Sehat pada Trimester Pertama

Gambar USG dengan tampilan gelombang detak jantung (M-Mode) | Sumber: Emory School of Medicine
Pada trimester pertama, tanda janin sehat terlihat dari perkembangan organ dan struktur tubuh yang sesuai usia kehamilan, gerakan janin yang mulai terjadi, serta detak jantung yang sudah dapat dideteksi secara ultrasonografi pada minggu ke-12.
Perkembangan ini menjadi patokan penting dalam memastikan janin tumbuh dengan baik di masa awal
Berikut adalah 15 indikator yang menunjukkan janin Anda berkembang dengan optimal:
1. Detak Jantung Janin Terdengar
Detak jantung janin terdengar adalah momen yang sangat mengharukan dan paling melegakan bagi setiap calon orang tua.
Saat dokter melakukan USG, mendengarkan detak jantung janin untuk pertama kalinya adalah konfirmasi nyata bahwa kehidupan baru telah dimulai.
Umumnya, detak jantung janin baru bisa terdeteksi melalui USG transvaginal pada usia kehamilan sekitar 6–7 minggu
2. Frekuensi Detak Jantung Normal
Setelah terdeteksi, hal berikutnya yang diperhatikan adalah ritmenya. Janin yang sehat dan berkembang baik di awal kehamilan memiliki denyut jantung cepat, biasanya berkisar antara 110 hingga 160 detak per menit (bpm).
Detak jantung yang stabil dan berada dalam batas normal ini menjadi ciri-ciri janin kuat susah keguguran, sehingga menunjukkan sistem vitalnya berfungsi optimal.
3. Pertumbuhan Janin yang Konsisten
Di balik layar, sebenarnya janin Anda sedang melalui fase pertumbuhan tercepat. Dokter akan memantau pertumbuhan ini dengan mengukur panjang janin (Crown-Rump Length atau CRL).
Pertumbuhan yang konsisten, di mana ukuran janin bertambah sesuai jadwal dari minggu ke minggu, adalah tanda jelas bahwa nutrisi yang diterimanya sempurna.
4. Panjang Janin Sesuai Usia
Saat Anda mencapai akhir trimester pertama (sekitar minggu ke-12), janin Anda seharusnya sudah mencapai panjang ideal, yaitu sekitar 7,6 hingga 10,2 cm, kira-kira seukuran buah lemon kecil.
Ukuran yang sesuai dengan usia kehamilan ini adalah indikator kuat dari perkembangan janin yang sehat.
5. Pembentukan Organ Utama Optimal
Trimester pertama adalah fase pembentukan fondasi. Pada fase ini, organ-organ super penting seperti jantung, otak, dan sumsum tulang belakang janin berpacu untuk terbentuk dan mulai berfungsi.
Jika pembentukan ini berjalan dengan baik, itu menunjukkan perkembangan sel yang optimal dan merupakan tanda janin sehat.
Baca Juga: Perkembangan Janin 1–9 Bulan lengkap dari Minggu ke Minggu
6. Tunas Lengan dan Kaki Jelas
Di akhir trimester pertama, tunas-tunas kecil yang akan menjadi tangan dan kaki mungilnya sudah terlihat jelas saat pemeriksaan USG.
Visualisasi bagian-bagian tubuh ini membuktikan bahwa struktur fisik dasar janin sedang tumbuh sesuai rencana, yang menandakan janin sehat pada trimester pertama.
7. Peningkatan Hormon hCG Tinggi
Peningkatan kadar hormon Human Chorionic Gonadotropin hCG yang tinggi, baik di darah maupun urine Anda, adalah sinyal bahwa plasenta atau ari-ari, jaringan penyokong kehidupan janin, berkembang dengan baik dan mampu mendukung pertumbuhan janin.
8. Kadar Hormon Progesteron dan Estrogen Meningkat
Selain hCG, hormon Progesteron dan Estrogen juga memainkan peran krusial seperti 'penjaga rahim'.
Tingginya kadar kedua hormon ini bekerja keras untuk menjaga dinding rahim tetap kuat dan stabil, menciptakan lingkungan yang aman dan kaya nutrisi bagi janin.
9. Kenaikan Berat Badan Ibu Terkontrol
Ciri-ciri janin sehat pada trimester pertama berikutnya adalah kenaikan berat badan Anda yang tidak perlu terlalu banyak, yaitu berkisar antara 0,5 hingga 2 kg, tergantung indeks massa tubuh (BMI) sebelum hamil.
Kenaikan yang sehat ini adalah pertanda bahwa tubuh Anda berhasil menyerap nutrisi untuk Si Kecil, sehingga janin bisa dikatakan sehat.
Baca Juga: 19 Makanan Penambah Berat Badan Janin, Ada Susu & Es Krim!
10. Mengalami Morning Sickness
Pada faktanya, mual dan muntah (morning sickness) yang sering membuat Anda tidak nyaman justru merupakan ciri-ciri janin sehat pada trimester pertama.
Keluhan ini muncul karena tingginya kadar hormon kehamilan di tubuh Anda, menunjukkan bahwa hormon tersebut bekerja maksimal untuk mendukung kehamilan.
11. Payudara Membengkak dan Sensitif
Dalam ciri-ciri janin sehat berikutnya, payudara Anda akan terasa lebih penuh, bengkak, dan sangat sensitif.
Tak perlu khawatir, sebab ini adalah respons alami tubuh yang sedang mempersiapkan diri untuk menyusui, sebuah sinyal kuat bahwa sistem hormonal kehamilan Anda aktif dan berjalan lancar.
12. Perut Terasa Kembung atau Kram Ringan
Selama menjalani trimester pertama, Anda mungkin merasakan perut sedikit kembung atau sesekali mengalami kram ringan di perut bagian bawah.
Selama rasa sakit itu ringan dan cepat hilang, hal seperti ini umumnya normal dan merupakan indikasi rahim sedang meregang untuk memberikan ruang bagi janin yang terus membesar.
13. Janin Mulai Bergerak (Quickening)
Meskipun banyak ibu baru merasakan quickening di trimester kedua (sekitar minggu ke-16 hingga ke-24), beberapa ibu yang lebih sensitif atau pernah hamil sebelumnya mungkin sudah merasakan gerakan janin di akhir trimester pertama (sekitar minggu ke-13).
Gerakan ini, yang disebut quickening, terasa seperti gas atau kedutan halus, dan menunjukkan aktivitas janin di dalam rahim.
Baca Juga: Kapan Janin Mulai Bergerak? Kenali Waktunya & Awasi 4 Tanda Ini!
14. Tidak Ada Perdarahan Berat
Salah satu kekhawatiran terbesar adalah pendarahan. Ciri-ciri janin yang sehat dan tertanam kuat tidak akan menimbulkan pendarahan berat atau flek yang banyak.
Tidak adanya pendarahan adalah indikasi utama bahwa kehamilan Anda berjalan normal, menjauhkan Anda dari ciri-ciri janin tidak sehat dalam kandungan.
15. Minimnya Keluhan Berbahaya
Selain pendarahan, minimnya keluhan ekstrem lainnya seperti demam tinggi yang tak kunjung turun, muntah berlebihan hingga menyebabkan dehidrasi, atau nyeri perut yang hebat yang tidak tertahankan, adalah pertanda baik. Ini menunjukkan lingkungan kehamilan Anda relatif stabil dan aman.
Apa Saja Tanda Bahaya Kehamilan Trimester 1?

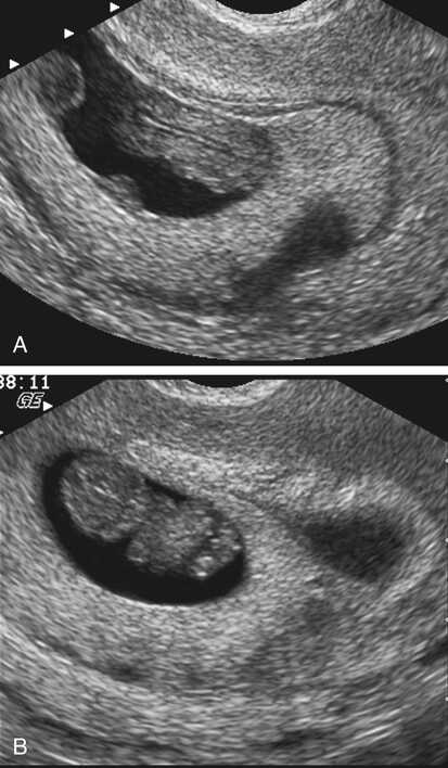
USG dengan gambaran perdarahan atau kantung haid abnormal | Sumber: Radiology Key
Meski Anda mungkin merasakan banyak ciri positif di atas, penting untuk selalu waspada terhadap beberapa kondisi darurat.
Tanda-tanda ini membutuhkan penanganan medis segera karena dapat mengindikasikan risiko serius, termasuk ciri-ciri janin tidak berkembang.
Berikut adalah tanda bahaya kehamilan trimester 1 yang wajib Anda perhatikan:
- Pendarahan Vagina Hebat: Pendarahan yang banyak, berwarna merah terang, dan disertai gumpalan dapat menjadi tanda awal keguguran.
- Nyeri Perut Bagian Bawah yang Parah: Nyeri perut yang hebat, terutama jika hanya terasa di satu sisi, bisa menjadi indikasi kehamilan ektopik (janin tumbuh di luar rahim) atau keguguran.
- Mual dan Muntah Berlebihan (Hiperemesis Gravidarum): Jika Anda muntah lebih dari 3–4 kali sehari hingga tidak bisa makan atau minum sama sekali (dehidrasi), ini berbahaya bagi Anda dan janin.
- Demam Tinggi: Demam tinggi yang disertai menggigil dapat menjadi tanda infeksi yang berpotensi membahayakan janin.
- Keputihan Berbau atau Gatal Hebat: Ini bisa mengindikasikan infeksi vagina yang memerlukan pengobatan untuk mencegah penyebarannya.
Jika Anda mengalami kondisi-kondisi di atas, apalagi jika disertai dengan detak jantung janin yang tidak terdengar—yang menjadi ciri-ciri janin tidak berkembang—segera konsultasikan ke dokter kandungan.
Baca Juga: 9 Ciri-Ciri Janin Tidak Berkembang di Trimester 1 & Penyebabnya
Jaga Kehamilan Anda Tetap Sehat, Kunjungi Tzu Chi Hospital Sekarang!
Memahami ciri-ciri janin sehat pada trimester pertama adalah langkah awal yang hebat, namun pendampingan profesional adalah kunci untuk memastikan keamanan Si Kecil hingga hari persalinan.
Oleh karena itu, sebaiknya Anda jangan tunda lagi hal seperti ini, percayakan momen berharga ini kepada dokter ahli Tzu Chi Hospital yang menyediakan layanan Ibu dan Anak yang terpadu dan komprehensif.
Di sini, kehamilan Anda ditangani oleh tim ahli, termasuk Dokter Spesialis Kandungan Konsultan Fetomaternal yang berfokus pada kesehatan janin dan deteksi dini kelainan.
Tzu Chi Hospital telah menggunakan teknologi canggih seperti USG 4 Dimensi (4D) di setiap pemeriksaan untuk memantau perkembangan Si Kecil secara real time.
Percayakan momen penting ini kepada kami dengan layanan unggulan:
- Perawatan Ibu & Anak Komprehensif: Layanan terpadu mulai dari Antenatal Care, skrining canggih (NIPT, Amniosintesis), hingga metode persalinan modern (ERACS untuk pemulihan cepat dan Persalinan Normal dengan metode ILA untuk rasa sakit minimal).
- Cari Dokter: Jadwalkan konsultasi dengan tim spesialis terbaik kami, yang juga didukung oleh Dokter Spesialis Anak Konsultan untuk memastikan kesehatan bayi baru lahir di NICU dan PICU.
- IGD 24 Jam: Siaga penuh untuk penanganan darurat kehamilan dan persalinan tanpa henti.
- Hubungi via WhatsApp: Konsultasi cepat dan informasi layanan yang mudah diakses.
Kesehatan Anda dan Si Kecil adalah prioritas utama kami. Ambil keputusan terbaik untuk Si Kecil bersama Tzu Chi Hospital sekarang!
Artikel ini telah ditinjau secara medis oleh dr. Christian Wijaya Woen, Sp.OG
Referensi:
Cleveland Clinic. First Trimester.
PLOS Medicine. The World Health Organization Fetal Growth Charts: A Multinational Longitudinal Study of Ultrasound Biometric Measurements and Estimated Fetal Weight.





