Pencegahan & Deteksi Dini Penyakit
Eventrasio Diafragma: Gejala, Penyebab, Cara Mengatasi & Komplikasi
Ditulis Oleh
Admin TzuChi • 05 Desember 2025

Normalnya, diafragma berfungsi sebagai sekat otot antara rongga dada dan rongga perut.
Namun pada kasus evantrasio diafragma, sekat ini sangat tipis sehingga organ perut terdorong ke rongga dada tanpa menyebabkan robekan.
Akibatnya, penderita dapat mengalami gangguan pernapasan, seperti mudah sesak napas. Kondisi ini berbeda dengan hernia diafragma, di mana terbentuk lubang nyata pada diafragma.
Agar lebih waspada, mari kenali lebih dalam gejala, penyebab, dan cara mengatasinya!
Apa itu Eventrasio Diafragma?

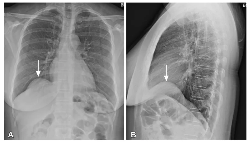
Gambar Eventrasio Diafragma X-Ray | Sumber: NCBI
Eventrasio diafragma adalah kondisi ketika posisi diafragma naik secara tidak normal akibat otot yang lemah atau lumpuh.
Akibatnya, diafragma pun kehilangan kemampuan berkontraksi dengan baik sehingga paru-paru tertekan dan fungsi pernapasan terganggu.
Pada kasus ringan, biasanya tidak ada gejala, tetapi pada kondisi berat dapat muncul sesak napas hingga gangguan pernapasan serius.
Penyebab Eventrasio Diafragma
Eventrasio bisa bersifat kongenital (bawaan lahir) atau muncul akibat cedera saraf atau kerusakan otot.
Berikut penjelasan lebih dalam tentang penyebabnya:
1. Eventrasio Kongenital (Bawaan Lahir)
Eventrasio kongenital terjadi sejak bayi masih dalam kandungan. Penyebabnya karena perkembangan diafragma yang tidak sempurna.
Misalnya karena serabut otot diafragma terlalu tipis, atau gangguan saraf frenikus (saraf pengatur gerakan diafragma).
Sebagian besar kasus eventrasio diafragma kiri atau kanan kongenital bersifat ringan, karena hanya terjadi pada satu sisi.
2. Eventrasio Akibat Cedera
Jenis ini disebabkan oleh cedera atau kerusakan pada saraf frenikus. Cedera tersebut dapat timbul akibat:
-
Trauma saat persalinan, terutama pada bayi yang lahir sulit.
-
Operasi di area dada atau leher yang melukai saraf frenikus.
-
Tumor di rongga dada atau leher.
Ketika saraf frenikus rusak, otot diafragma kehilangan kemampuan berkontraksi. Akibatnya, sisi diafragma yang terkena menjadi lemah atau lumpuh.
Baca Juga: Hernia pada Anak – Ciri, Jenis, Penyebab, Komplikasi & Penanganan
Ciri-Ciri Eventrasio Diafragma
Kebanyakan penderita eventrasio diafragma tidak menunjukkan gejala, terutama jika kasusnya ringan.
Biasanya kondisi ini baru terdeteksi secara tidak sengaja saat pemeriksaan rontgen dada untuk keperluan lain.
Namun, pada kasus yang lebih berat, gejala bisa muncul, seperti:
-
Sesak napas saat berbaring atau beraktivitas.
-
Napas cepat (takipnea).
-
Sering membutuhkan oksigen tambahan, terutama pada bayi.
-
Batuk berulang atau mudah terkena infeksi paru seperti pneumonia.
-
Nyeri dada.
-
Gangguan makan dan berat badan sulit naik, karena tekanan organ perut terhadap paru.
Pada kasus berat akibat bawaan lahir, eventrasio diafragma dapat disertai kelainan lain seperti:
-
Kelainan saraf
-
Kelainan bentuk dinding dada
-
Tulang rusuk tidak lengkap
-
Paru-paru yang kurang berkembang
-
Kelainan jantung bawaan
Diagnosis Eventrasio Diafragma
Jika ternyata eventrasio diafragma kanan atau kiri terdeteksi secara tidak sengaja saat pemeriksaan lain, Anda akan disarankan untuk menjalani pemeriksaan lebih lanjut guna memastikan kondisi.
Beberapa metode yang umum digunakan antara lain:
-
Pemeriksaan fisik oleh dokter
-
Foto rontgen dada
-
CT scan dada
-
USG dada
-
Tes fungsi paru
Dokter hanya akan menggunakan satu atau dua metode, kecuali dibutuhkan diagnosis tambahan.
Cara Mengatasi Eventrasio Diafragma
Penanganan eventrasio diafragma tergantung pada tingkat keparahan kondisi. Kebanyakan kasus ringan tidak membutuhkan tindakan medis.
Namun, jika bila kondisi ini menyebabkan gangguan pernapasan, pneumonia, atau ketergantungan alat bantu napas, dokter dapat merekomendasikan pembedahan.
1. Penanganan Tanpa Operasi
Apabila kondisi tidak menyebabkan gejala, penanganan difokuskan untuk meningkatkan kemampuan pernapasan, seperti:
-
Fisioterapi dan latihan pernapasan guna memperkuat otot pernapasan.
-
Rehabilitasi paru untuk meningkatkan kapasitas paru.
-
Pemeriksaan berkala dengan radiologi untuk memantau posisi diafragma.
2. Operasi Plicasi Diafragma
Jika gejala menimbulkan komplikasi, dokter akan merekomendasikan operasi plicasi diafragma.
Operasi ini bertujuan untuk mengencangkan dan meratakan posisi diafragma dengan jahitan khusus, sehingga paru-paru memiliki ruang yang cukup untuk mengembang.
Namun, prosedur ini tidak dapat mengembalikan fungsi otot diafragma yang lumpuh. Prosedur ini hanya dapat mengurangi sesak napas.
Operasi bisa dilakukan dengan dua metode:
-
Operasi terbuka dengan sayatan besar
-
Operasi minimal invasif dengan sayatan kecil (Laparoskopi atau Torakoskopi)
Baca Juga: Operasi Robotik di Indonesia: Sejarah, Keuntungan, dan Regulasi
3. Perawatan Setelah Operasi
Setelah operasi plicasi, pasien dapat kembali minum dan makan perlahan setelah mampu menelan cairan dengan baik.
Jika perawat memasang alat bantu napas, proses makan baru bisa setelah alat tersebut dilepas.
Selama masa pemulihan, pasien mungkin membutuhkan obat pereda nyeri seperti paracetamol, ibuprofen, atau analgesik lain sesuai anjuran dokter.
Komplikasi Eventrasio Diafragma
Apabila kasus eventrasio diafragma berat tidak ditangani dengan tepat, kondisi ini dapat menyebabkan beragam komplikasi, apalagi jika kelemahan otot diafragma cukup luas.
Komplikasi bisa berasal dari penyakit itu sendiri maupun pasca tindakan pembedahan.
Berikut beberapa komplikasi yang dapat terjadi:
Komplikasi akibat Eventrasio Diafragma
-
Gagal napas kronis, akibat paru tidak dapat mengembang secara optimal.
-
Pneumonitis akibat sisa udara atau lendir sulit keluar dari paru.
-
Gangguan pertumbuhan pada bayi dan anak-anak, akibat kesulitan makan.
-
Aritmia jantung akibat pergeseran mendadak posisi organ di rongga dada.
Komplikasi setelah Operasi
-
Infeksi paru atau pneumonia pascaoperasi.
-
Trombosis vena dalam akibat imobilisasi setelah pembedahan.
-
Efusi pleura (penumpukan cairan di rongga antara paru dan dinding dada).
-
Komplikasi jantung seperti gangguan irama akibat operasi.
Tips Mencegah Eventrasio Diafragma Berulang
Kondisi ini bisa kambuh apabila pemulihan atau operasi yang dilakukan kurang maksimal, sehingga otot kembali kendur.
Guna mencegah terjadinya hal itu, terapkan tips-tips berikut:
1. Kontrol Berkala
Ikuti arahan dokter bedah dan fisioterapis untuk kontrol pascaoperasi (biasanya 2–3 minggu setelah keluar dari rumah sakit) untuk memastikan luka operasi sembuh.
2. Hindari Makan Berlebihan
Hindari makan berlebihan yang dapat menekan diafragma dan menimbulkan rasa tidak nyaman di dada. Pilih makanan bergizi seimbang untuk mendukung pemulihan otot.
3. Hindari Aktivitas Berat
Setelah operasi, hindari aktivitas berat dan mengangkat beban selama 4–6 minggu. Aktivitas berlebihan dapat menekan area operasi dan menghambat proses pemulihan.
Pada kasus eventrasio diafragma bayi, tanyakan pada dokter kapan waktu “tummy time” bisa dimulai kembali.
4. Latihan Pernapasan
Lakukan latihan pernapasan ringan atau fisioterapi sesuai saran dokter guna membantu memperkuat otot pernapasan dan mencegah kekambuhan akibat kelemahan diafragma.
5. Waspadai Tanda Bahaya
Segera hubungi dokter jika muncul gejala seperti nyeri dada yang semakin parah, demam, muntah berulang, sesak napas, atau luka operasi tampak merah.
Kapan Harus ke Dokter?
Jika eventrasio diafragma menimbulkan sesak napas, atau batuk menetap, segera periksakan diri ke rumah sakit dengan fasilitas lengkap seperti Tzu Chi Hospital.
Anda bisa mendapatkan pemeriksaan menyeluruh oleh dokter spesialis paru.
Selain itu, tersedia pula layanan diagnosis lengkap seperti CT scan, X-ray, serta pusat fisioterapi untuk membantu pemulihan fungsi pernapasan.
Untuk kemudahan, Anda bisa membuat janji temu melalui WhatsApp Tzu Chi Hospital dan cek jadwal praktik dokter melalui menu Cari Dokter.
Atasi segera sebelum mengganggu kualitas hidup Anda!
Artikel ini telah ditinjau secara medis oleh Tim Dokter TCH
Referensi:
Topik
Related Article
Artikel Populer

Omeprazole: Manfaat, Dosis, Cara Minum, & Efek Samping

Kedutan Mata Kanan & Kiri Bawah: Penyebab & Cara Mengatasinya menurut Medis

Menu Diet Sehat 7 Hari untuk Turunkan BB tanpa Menyiksa Diri

5 Cara Menghitung Usia Kehamilan Akurat, Plus Tabel Usia Kehamilan

